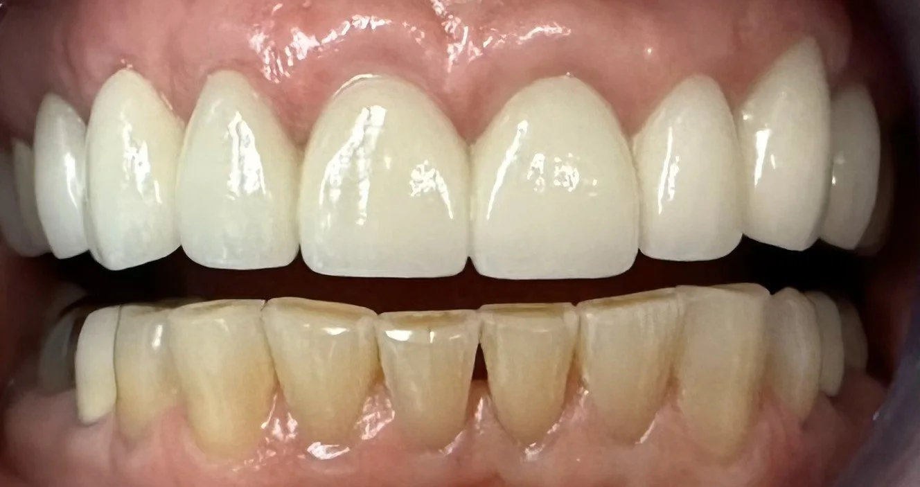
Comprehensive Dentistry:

With a focus on prevention at our office we provide all general dental services including cleanings, deep cleanings, oral prophylaxis, digital x-rays, fillings and composite bondings, porcelain crowns and bridges, partial and full dentures, nightguards and retainers.

“prevention and education”

We provide detailed instruction and education for you to care for your teeth and overall oral health.

Previous
Previous

Whitening & Bleaching